特発性大腿骨頭壊死症と間質性肺炎ってどんな病気?早期発見が鍵を握る?股関節の痛みと呼吸困難…それぞれの病気の原因と治療法
股関節の痛みや呼吸困難…その原因、もしかしたら? 今回は、30~50代に多い「大腿骨頭壊死症」と、歌手の八代亜紀さんも患った「間質性肺炎」に焦点を当てます。原因、症状、治療法、そして社会保障まで徹底解説! 病気の進行、遺伝的要因、障害年金の受給についてもわかりやすく解説します。あなたの健康を守るための、知っておくべき情報がここに。

💡 特発性大腿骨頭壊死症は大腿骨頭の血流不足による壊死で、股関節の痛みや可動域制限を引き起こします。
💡 間質性肺炎は肺に炎症と線維化を引き起こす病気で、様々な原因と症状があります。
💡 早期発見と適切な治療が重要であり、社会保障制度についても理解を深めることが大切です。
今回は、特発性大腿骨頭壊死症と間質性肺炎について、それぞれの病気の詳細から治療法、そして社会保障について詳しくご紹介していきます。
二つの病気の始まり
大腿骨頭壊死症と間質性肺炎、早期発見の重要性はなぜ?
症状進行を防ぎ、適切な治療に繋がるため。
特発性大腿骨頭壊死症と間質性肺炎は、それぞれ異なる病気ですが、早期発見と適切な治療が重要です。
初期症状を見逃さないことが大切です。

✅ 間質性肺炎は、肺の間質部分が線維化することで息苦しくなる病気で、日本人の死因の11位を占める。
✅ 初期症状を見逃しやすく、発見が遅れる傾向があるため、乾いた咳や息切れなどの症状があれば専門医への受診が推奨される。
✅ 治療薬の開発が進んでおり、早期発見による治療の選択肢の増加が期待される。
さらに読む ⇒東京新聞 TOKYO Web出典/画像元: https://www.tokyo-np.co.jp/article/318786間質性肺炎の治療薬の開発が進んでいるというのは、希望が持てますね。
早期発見によって治療の選択肢が増えるのは、患者さんにとって大きなメリットだと思います。
始まりは、特発性大腿骨頭壊死症(大腿骨頭壊死症)と間質性肺炎(ILD)という二つの病気についてです。
特発性大腿骨頭壊死症は、30~50歳代に多く発症し、男性にやや多い傾向があります。
この病気は、大腿骨頭の一部が血流不足により壊死し、股関節の痛みや可動域制限を引き起こします。
一方、間質性肺炎は、肺に炎症と線維化を引き起こす多様な疾患群で、その原因や症状は様々です。
歌手の八代亜紀さんは膠原病関連の間質性肺炎で、美空ひばりさんは特発性間質性肺炎で亡くなっています。
どちらの病気も、早期発見が重要です。
美空ひばりさんが特発性間質性肺炎で亡くなったことは、記憶に新しいです。早期発見がいかに重要か、改めて考えさせられますね。
病気の詳細とリスクファクター
大腿骨頭壊死症の危険因子は?間質性肺炎との違いは?
ステロイド等、股関節痛等。肺の炎症と線維化。
大腿骨頭壊死症は、股関節の機能障害を引き起こし、様々なリスクファクターが存在します。
間質性肺炎は、原因や症状が多岐にわたる疾患群です。

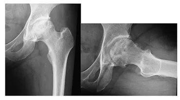
✅ 大腿骨頭壊死症は、大腿骨頭への血行障害により股関節の機能に障害が起きる病気で、原因不明の特発性と、外傷などが原因の症候性に分類される。
✅ 症状は股関節痛や動きの制限で、診断には問診と画像検査(X線、MRIなど)が行われる。病期分類や病型分類によって治療法が異なり、保存療法や手術(骨切り術、人工関節置換術)が選択される。
✅ 治療方針は、年齢、症状、病期、病型などを考慮して決定される。壊死範囲が小さい場合は保存療法、大きい場合は手術が検討され、関節温存手術または人工関節置換術が選択肢となる。
さらに読む ⇒KOMPAS - 慶應義塾大学病院 医療・健康情報サイト出典/画像元: https://kompas.hosp.keio.ac.jp/disease/000163/大腿骨頭壊死症のリスク因子に、ステロイドやアルコール摂取、喫煙などがあるんですね。
間質性肺炎も原因が様々で、特発性間質性肺炎は診断が難しいと。
次に、それぞれの病気の詳細について見ていきましょう。
大腿骨頭壊死症の危険因子には、ステロイドやアルコールの摂取、喫煙などがあり、膠原病や臓器移植歴もリスクを高めます。
症状としては、股関節痛、腰痛、膝痛などがあり、進行すると悪化します。
治療法は、保存療法と手術療法があり、患者の状態に応じて選択されます。
一方、間質性肺炎は、肺胞壁の炎症と線維化が特徴で、原因(膠原病、塵肺など)、発症様式、胸部CT所見、病理所見、治療反応が多様です。
ILDは細分化されており、中でも特発性間質性肺炎(IIPs)は診断や治療が難しいとされています。
そういえば、昔、ステロイドを長期服用している人が、股関節を悪くしたという話を聞いたことがあります。改めて気をつけないといけませんね。
次のページを読む ⇒
大腿骨頭壊死症と間質性肺炎の治療と社会保障を解説。難病指定、医療費補助、進行抑制薬、遺伝的要因、障害年金など、知っておきたい情報が満載!