肺がんステージ4とは?生存率や治療法を解説【最新情報】?肺がんステージ4:現状と治療戦略
日本人の死因上位の肺がん。ステージ4は転移を伴う深刻な状態ですが、希望はあります!最新医療の進歩により、病状を抑え、長く生きることが可能に。原因、症状、治療法、生存率、そして「がんと共に生きる」ために必要なこととは?早期発見のための検査、治療の選択肢、家族のサポート。あなたの未来を切り開く情報がここに。

💡 肺がんステージ4は、最も進行した状態で、他の臓器への転移を伴います。
💡 早期発見のための検査法として、低線量CT検査が有効です。
💡 治療法は、がんの種類や進行度に合わせて選択され、分子標的薬や免疫療法などが用いられます。
肺がんステージ4について、現状、診断、治療法、そして患者と家族が出来ること、未来について、詳しく解説していきます。
肺がんステージ4の現状と定義
ステージ4肺がん、どんな状態?完治は難しい?
他臓器への転移あり、完治は難しい。
肺がんステージ4は、最も進行した状態で、他臓器への転移が認められる状態を指します。
完治は難しいですが、治療によって病状の進行を抑え、QOLを保ちながら長生きすることも可能になってきました。

✅ 肺がんステージⅣは、がんが他の臓器や対側の肺に転移した、最も進行した状態を指します。
✅ ステージは、原発巣の大きさ・広がり(T)、リンパ節への転移(N)、遠隔転移(M)によって決定され、Ⅳは最も進行度が高いことを示します。
✅ 治療の中心は薬物療法であり、骨、脳、肝臓、副腎などへの転移が多いです。
さらに読む ⇒症状に関連する病名についてAIで無料で調べる出典/画像元: https://ubie.app/byoki_qa/clinical-questions/fe6xgtd2m8q肺がんステージ4は完治が難しいとされていますが、治療の進歩によって、希望が見えてきました。
色々な治療法があるんですね。
肺がんは日本人の主要な死因の一つであり、ステージ4は最も進行した状態を指し、他の臓器への転移を伴います。
この状態は完治が難しいとされますが、現代医療の進歩により、病状の進行を抑え、生活の質を維持しながら長生きすることが可能になっています。
ステージ4の肺がんの定義は、肺がんが脳、肝臓、骨、副腎、反対側の肺や胸膜などに転移した状態です。
原因としては喫煙が最も大きく、受動喫煙や大気汚染、職業上のアスベストばく露、遺伝的要因なども関連しています。
昔は、肺がんの治療なんて絶望的だったもんだ。今は、色々な治療法があって、希望が持てるようになっているのは、本当に素晴らしいね。
症状と診断
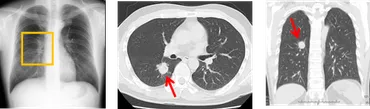
肺がんステージ4、どんな症状?早期発見の秘策は?
咳、血痰、転移先症状など。定期検査が重要。
肺がんの早期発見には、低線量CT検査が有効です。
この検査は、被ばく線量を抑えながら、小さな病変も検出できるため、早期発見に繋がります。
早期発見が、その後の治療と予後に大きく影響します。
公開日:2017/11/03

✅ 当診療所では、被ばく線量を従来の約1/10に抑えた低線量CT装置を導入し、肺がんの早期発見に有効な検査を提供しています。
✅ 肺がんは日本人の死亡原因の第一位であり、早期発見のためには、胸部X線検査よりも小さな病変を検出できる低線量胸部CT検査が有効です。
✅ 低線量胸部CT検査の被ばく量は、年間の自然放射線量の約1/3以下であり、検査による被ばくのリスクは低いとされています。
さらに読む ⇒ 医療法人創健会 西村診療所<人間ドック・総合健診>出典/画像元: https://soukenkai-nishimura.net/post-4314/低線量CT検査は、被ばく量を抑えつつ早期発見に繋がるというのは、患者さんにとって非常にメリットがありますね。
積極的に検査を受けることが大切です。
ステージ4の肺がんの症状は、原発巣(肺)による咳や血痰、息切れ、胸の痛みと、転移先による頭痛、骨痛、食欲不振、黄疸など多岐にわたります。
初期症状は自覚しにくく、咳、血痰、胸痛、顔や首のむくみ、嗄声、嚥下困難、食欲不振、体重減少、倦怠感などが見られることもあります。
早期発見のためには、定期的な検査が重要であり、リスクの高い人は低線量胸部CT検査(LDCT)などの検査を受けることが推奨されます。
早期発見のために検査を受けることが重要とのことですね。検査の種類や費用についても、詳しく知りたいと思いました。
次のページを読む ⇒
肺がんステージ4の治療、最新情報。抗がん剤、分子標的薬、免疫療法で生存率UP! 早期発見と家族の支えが、長く、より良く生きる鍵。