脳梗塞、早期発見が重要?原因、症状、予防法を徹底解説!脳梗塞のサインを見逃さないために
脳梗塞は、突然死や寝たきりの原因となる恐ろしい病気。高血圧や糖尿病などの生活習慣病がリスクを高めます。片麻痺、言語障害、顔面麻痺など、見逃せない初期症状に注意!FASTチェックで早期発見を。発症から4.5時間以内の治療開始が重要です。後遺症を最小限に抑えるには、早期からのリハビリが不可欠。日々の生活習慣の見直しと早期の医療機関受診で、脳梗塞を予防し、健康な生活を送りましょう。
緊急事態:FASTチェックと迅速な対応
脳梗塞のサイン、FASTチェック!緊急時はどうする?
FASTチェック後、119番。4.5時間以内の治療が重要!
脳梗塞が起きた際の緊急対応について解説します。
FASTチェックの方法、迅速な医療機関への搬送、そして早期治療の重要性について見ていきましょう。

✅ 脳卒中は、脳の血管が詰まったり破れたりすることで起こり、早期治療が重要である。症状を見逃さず、FAST(顔・腕・言葉)のどれかに当てはまる場合は、すぐに医療機関を受診する必要がある。
✅ 脳梗塞の治療は時間との闘いであり、発症から4.5時間以内の血栓溶解薬投与が推奨されている。血栓回収療法も行われる場合があり、迅速な診断と治療開始が重要である。
✅ 脳卒中予防には「5すぎない」(飲みすぎ、食べすぎ、吸いすぎ、働きすぎ、怠けすぎ)を心がけ、健康診断で生活習慣病を早期発見・治療することが重要である。脳ドックで脳動脈瘤のチェックも推奨される。
さらに読む ⇒ リビングふくおか・北九州Web出典/画像元: https://mrs.living.jp/fukuoka/fo_life/article/4508844FASTチェックは、まさに命を守るための合言葉ですね。
症状が出たら、ためらわずに救急車を呼ぶことが大切です。
脳梗塞の早期発見には、顔のゆがみ(Face)、腕の脱力(Arm)、言語障害(Speech)をチェックするFASTチェックが非常に有効です。
さらに、バランス(Balance)や視覚異常(Eye)も確認し、一つでも症状があれば、直ちに119番通報し、医療機関を受診することが重要です。
発症から4.5時間以内の治療開始が重要であるため、緊急症状(激しい頭痛、意識障害、半身麻痺、言語障害、視力障害など)が見られた場合は、FASTチェックを待たずに救急車を呼ぶ必要があります。
なるほど、FASTチェックを覚えておけば、いざという時に役立ちますね。家族にも教えてあげよう。
復活への道:リハビリテーションの重要性
脳梗塞後遺症、リハビリはいつから?効果的な時期は?
早期リハビリが重要!継続で機能回復を目指します。
脳梗塞後のリハビリテーションについて解説します。
リハビリの重要性、種類、そして継続することの大切さについて見ていきましょう。
公開日:2025/03/19

✅ 脳梗塞による失語症は、脳の言語処理領域の損傷が原因で発生し、言葉が出にくい、理解しにくいなどの症状を引き起こす。
✅ 失語症の症状は、脳の損傷部位によって異なり、発話の困難さ、理解力の低下、読み書きの障害などが起こる可能性がある。
✅ 失語症のリハビリは、年齢や病変部位などによって改善の度合いが異なるものの、粘り強く続けることで言語機能の改善が期待できる。専門家との連携が重要である。
さらに読む ⇒脳卒中・脳梗塞・脳出血の後遺症改善 - 脳神経リハビリセンター出典/画像元: https://noureha-nagoya.jp/cerebral-infarction-aphasia/リハビリは、脳梗塞からの回復に不可欠なのですね。
早期からの継続的なリハビリが、生活の質を大きく左右すると知り、改めて重要性を感じました。
脳梗塞の後遺症により、手足の麻痺、言語障害、認知障害、高次脳機能障害などが生じることがあります。
後遺症による日常生活への支障を改善するために、早期からのリハビリが非常に重要です。
リハビリは、急性期、回復期、生活期の3つの段階に分かれ、それぞれの段階に応じた適切なプログラムが実施されます。
リハビリには、理学療法、作業療法、言語聴覚療法などがあり、個々の症状や目的に合わせて適切なプログラムが選択されます。
継続的なリハビリは、機能回復の可能性を高め、生活の質の向上に繋がります。
リハビリは大変でしょうが、諦めずに続けることが大事ですね。応援しています。
未来への一歩:予防と早期発見
脳梗塞、早期発見の鍵は?どんな行動が大切?
初期サイン見逃さず、検査と生活習慣改善!
脳梗塞の検査方法と予防策について解説します。
MRI検査の注意点、生活習慣病の予防、そして早期発見の重要性について見ていきましょう。

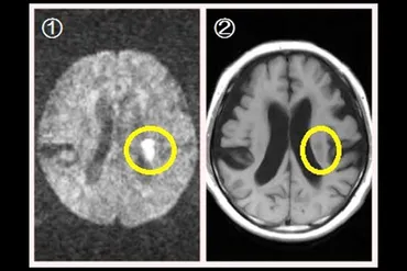
✅ 脳梗塞は、脳の血管が詰まることで脳組織が壊死する病気で、高齢者や男性に多く見られます。
✅ 脳梗塞の検査には、出血の有無を迅速に確認できるCT検査と、発症早期の脳梗塞を描出できるMRI検査があります。
✅ MRI検査は、閉所恐怖症の方でも受けやすいオープン型MRIも存在しますが、検査には注意点やリスクも伴います。
さらに読む ⇒ 神戸市西区出典/画像元: https://midori-hp.or.jp/radiology-blog/cerebral_infarction/早期発見と予防が、脳梗塞から身を守るための鍵ですね。
日々の生活習慣を見直すことから始めたいと思います。
脳梗塞は、早期発見と適切な治療開始が、後遺症の軽減や死亡リスクの低減に繋がります。
TIAや顔面症状といった初期のサインを見逃さず、早期にMRIなどの検査を受けることで、脳梗塞を早期に発見し、適切な治療を開始することが重要です。
日々の生活習慣を見直し、高血圧、糖尿病、高脂血症などの生活習慣病を予防することも、脳梗塞のリスクを減らすために重要です。
検査方法についても詳しく説明があり、とても参考になりました。生活習慣を見直すきっかけになりますね。
今回の記事では、脳梗塞の原因、症状、予防、治療について解説しました。
早期発見と日々の予防が大切です。
💡 脳梗塞は、早期発見と早期治療が重要です。
💡 高血圧などの生活習慣病を予防しましょう。
💡 FASTチェックを覚え、いざという時に備えましょう。